成人の陰嚢水腫(自費診療) Hydrocele Testis
HYDROCELE TESTIS
陰嚢水腫|日帰り手術(自費)

Hydrocele Testis
成人の陰嚢水腫
成人の陰嚢水腫(いんのうすいしゅ)は、精巣(睾丸)の周りにある膜の間に、液体(腹水やリンパ液)が異常に溜まることで陰嚢(いんのう)が腫れてしまう病気です。子どもと思春期以降の成人で原因が異なります。
当院では患者さまが安心して手術を受けられるように、豊富な経験から、患者さまの症状や病気の状態にあった最適な治療法について詳しく説明させていただきます。※当院の陰嚢水腫の治療は初診から手術まで全て自費診療になります。
CONTENT
目次
成人の陰嚢水腫について
陰嚢水腫とは?
陰嚢水腫は精巣(睾丸)を包む膜(精巣固有鞘膜といいます)の中に水(リンパ液)が溜まり、陰嚢が膨らんだ状態になる病気です。男性であれば子供から大人まで全ての年齢層で起こる良性の病気で、「鼠径部から陰嚢が膨らむ」という症状が鼠径ヘルニアに類似しているのが特徴です。成人の陰嚢水腫については、原因がはっきり分かっていません。外傷や感染などにより生じた精巣固有膜の病的状態(液体の分泌と吸収のバランスが崩れている状態)等が、要因と考えられています。根治するためには手術が必要となります。
陰嚢水腫の種類
陰嚢水腫は、小児に多い交通性陰嚢水腫と大人に多い非交通性陰嚢水腫とがあります。
二次性(交通性)陰嚢水腫: 本来、胎児期に精巣が腹の中から陰嚢へ下降する際に通る道(腹膜鞘状突起)は自然に閉じるのですが、これが閉じずに腹腔と交通が残っているタイプです。腹水がこの交通路を通って陰嚢内に流れ込むことで発症します。
特発性(非交通性)陰嚢水腫: 腹腔との交通はなく、精巣を包む膜からの液体の分泌と吸収のバランスが崩れることで発症します。成人ではこちらが多く、原因は加齢、精巣やその周辺の炎症、外傷、腫瘍、フィラリア症(日本ではまれ)などが挙げられますが、多くは原因不明です。
交通性陰嚢水腫
- 小児に多く、鼠径ヘルニアが併存していることがある。
- 自然に治ることがある。
- 手術は、鼠径部を切開する方法を選択する。
非交通性陰嚢水腫
- 成人に多く外傷や感染などにより生じた精巣固有膜の病的状態(液体の分泌と吸収のバランスが崩れる状態)等が原因と考えられている。
- 自然に治ることはない。
- 根治手術は、陰嚢を切開する方法を選択することが多い。

陰嚢水腫の症状
最も一般的な症状は、痛みや不快感を伴わない陰嚢の腫れです。陰嚢の腫大(膨らんだ状態)を心配して受診されることが多いです。通常痛みはありませんが、陰嚢が腫れることで不快感や違和感が出てきます。。
無痛性の腫れ: 片側または両側の陰嚢が、全体的にやわらかく腫れます。痛みはほとんどありません。
大きさの変化: 腫れの大きさは様々で、鶏卵大から時には新生児の頭ほどにまで大きくなることもあります。交通性の場合、体位(立ったり座ったり)によって大きさが変わることがあります。
不快感・圧迫感: 腫れが大きくなると、重さによる不快感や歩きにくさ、圧迫感を感じることがあります。
急な痛みや硬い腫れを伴う場合は、精巣捻転や精巣がんなど、他の病気の可能性もあるため、すぐに医療機関を受診する必要があります。
陰嚢水腫の診断
診断は比較的簡単で、主に以下の方法で行われます。
問診と触診: 医師が症状の経過を聞き取り、陰嚢を直接触って腫れの硬さや大きさ、圧痛の有無などを確認します。
透光性試験(トランスイルミネーション): 診察室を暗くし、陰嚢にペンライトなどの光を当てます。陰嚢水腫の場合、液体が溜まっているため光が全体に透けて赤く見えます。精巣がんなどの固形腫瘍の場合は光を透過しません。(当院では超音波検査を行います)
超音波(エコー)検査: 最も確実な検査方法です。超音波を使って陰嚢の内部を画像化し、溜まっている液体や精巣の状態を詳しく確認します。精巣腫瘍など他の病気との鑑別も正確に行えます。
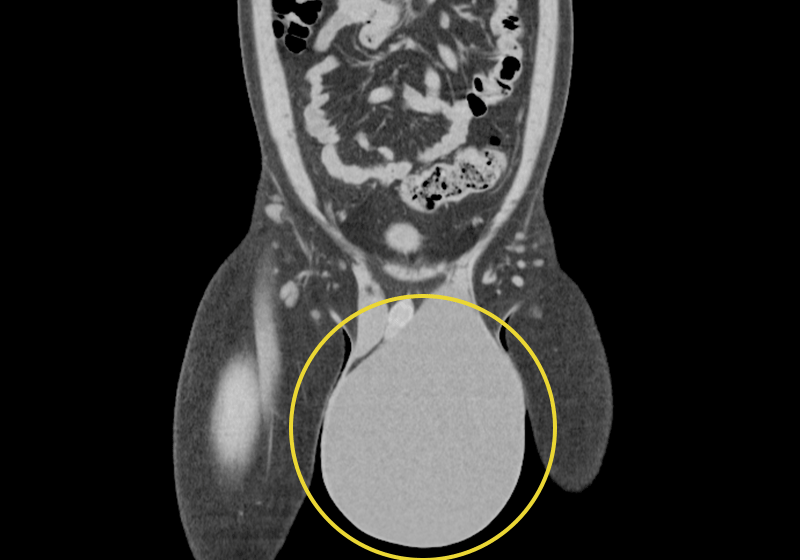
また、精巣腫瘍が原因で陰嚢水腫が生じることがあるため、精巣腫瘍の可能性を否定できない場合には、追加のC T検査やMRI検査等の画像検査と腫瘍マーカーなどの血液検査を行うことがあります。
陰嚢水腫の治療法
成人の陰嚢水腫の治療方法
成人の陰嚢水腫は、症状がなければ必ずしも治療が必要というわけではありません。しかし、腫れが大きくて日常生活に支障が出たり、不快感が強かったりする場合には治療が検討されます。
①経過観察
腫れが小さく、症状がない場合は、定期的に診察を受けながら様子を見ます。
②穿刺・吸引治療
エコー画像を見ながら、針を刺して溜まった液体を抜く治療です。体への負担が少なく外来で簡単に行えますが、根治的な治療ではないため再発をしやすいのが特徴です。頻回に繰り返すと感染の危険性があります。
※穿刺吸引治療は陰嚢内に出血や炎症が生じ、水腫とその周囲の組織や精管、血管と癒着を起こし、後述の根治手術を行う場合、癒着部位からの出血のため手術が非常に困難になります。そのため、過去に頻回に穿刺吸引治療をされた患者さまには日帰り手術ではなく入院治療をお勧めすることもあります。
③手術治療(根治治療)
▪️手術の適応
陰嚢の腫大が強く痛みや違和感があり日常生活に支障が生じ、手術の希望がある場合などが手術の適応となります。
▪️手術方法(Bergmann法):所要時間30〜40分
当クリニックで行なっている手術方法について
当クリニックで行なっている手術方法について説明します。
1) 麻酔
麻酔は点滴薬による全身麻酔です。患者様が眠っている間に手術が行われる状態にします。不安や恐怖を感じないように意識を無くして眠ってもらい、手術中の記憶はなく手術の途中で麻酔が醒めることはありません。
2) 陰嚢の皮膚を3~4cm切開する。
3) 水腫を陰嚢皮下組織から剥離する。
4) 水腫の壁(精巣固有鞘膜)を切開して内容液を吸引する。
5) 水腫の壁を切除する。
水腫の壁を切除する際に大切なポイントは、(1) 精巣や精管、血管などを損傷しないように可能な限り広範囲に切除すること (2) 術後の合併症や再発予防のために出血をさせないように切除することです。
アクロサージを用いた日帰り手術(自費診療)
当クリニックでは、マイクロ波の熱を利用して組織を凝固・切開する「アクロサージ」という医療機器を導入しています。

アクロサージはマイクロ波を照射して組織を凝固させながら、剪刀(ハサミ)で切離する新しいエネルギーデバイスです。

アクロサージデバイス Palm 直視下手術に特化し直感的な使用感を追求した剪刀
<アクロサージの特徴>
出血リスクが極めて低い
水腫壁を切除する際に血管や組織を瞬時に凝固しながら切開するため、手術中の出血を最小限に抑えます。これにより合併症のひとつである陰嚢内血腫・漿液貯留のリスクも低減します。
身体への負担が少ない
従来の手術法では、水腫の壁を切除した断端(切除した部分)を糸で縫合する必要があります。これは切除した部分からの出血を予防するための処置です。また、術後に陰嚢内にドレーン(血液等を体外に出すための細い医療用のチューブ)を入れるため一定期間の入院が必要です。
アクロサージを使用した場合はこの縫合処置は不要です。そのため、手術時間が短縮でき、また術後の疼痛や違和感が軽減できると考えられます。また、ドレーンを入れる必要がないため入院が不要です。
きれいな仕上がり
周辺組織への熱損傷が少なく、傷跡が治る過程も良好です。

①陰嚢の皮膚を切開する

②水腫を剥離する:陰嚢皮下組織と
精巣固有鞘膜との間を剥離

③精巣固有鞘膜(水腫壁)を切開し内容液を吸引する

④精巣固有鞘膜(水腫壁)の切除
アクロサージ使用により止血効果の高い切除ができる
このアクロサージの使用により、従来は入院が必要とされた陰嚢水腫手術を、安全に日帰りでご提供することが可能となりました。本手術は保険適用外のため、自費診療となります。
横浜みなと外科クリニックでは、Bergman法を基に、特別な切開方法を用いる陰嚢水腫の日帰り手術に取り組んでいます。
この方法は、液体を排出した後、精巣に最も近い部分をわずかに残して、鞘膜の大部分を円形に切除します。この時、電気メスではなくマイクロ波による切開を行います。マイクロ波は組織に含まれる水分子を振動させることにより生体組織を加熱し、均一な凝固を行います。マイクロ波による凝固・止血能力と、切開することに適したハサミ型の先端を持ち合わせた世界で唯一の手術器械「アクロサージ」で手術を行います。
当院では陰嚢水腫の状態を検査でしっかりと診断し
患者さまに合った最適な手術方法を提案します。
合併症について
陰嚢水腫の手術で、代表的な合併症について説明いたします。
創部出血
陰嚢の皮膚は体の他の部分と比較して血管が豊富で、術後にキズから少量の出血を生じることがあります。多くの場合は自然に止まりますが、血液をサラサラにするお薬を内服している患者さまの場合は、再縫合が必要になります。
陰嚢内血腫・漿液貯留
術後に水腫を取り除いたスペースに血液やリンパ液が貯まり、陰嚢全体が腫れて手術前と同じくらいの大きさになることがあります。多くの場合は自然に軽快します。血液をサラサラにするお薬を内服している患者様や、大きな水腫の患者様に多い合併症です。
陰嚢や睾丸の疼痛・腫れ
陰嚢の痛みや違和感が生じます。内服の痛み止めで徐々に軽快していきます。 また、腫れて浮腫むことがありますが、術後数ヶ月で軽快しますので心配ありません
創部感染
手術創部(キズ)の感染は、どんなに予防してもすべての手術で起こる可能性がある合併症です。軽症であれば、創部の処置(洗浄など)や内服薬・外用薬で軽快します。喫煙者や糖尿病の患者様に多い術後合併症のひとつです。
睾丸萎縮・壊死
ごく稀な合併症です(頻度不明)。主に再発症例や過去に穿刺吸引を繰り返し行った患者様にみられる合併症です。壊死を起こした場合、摘出手術が必要な場合があります。
◎上記の合併症は、過去に穿刺吸引を頻回に行った患者さまに多くなる傾向があります。
術後経過についての説明
術中・術後経過が順調な場合、術後30分程で離床ができます。その後問題がなければ、術後2時間程で退院が可能です。退院後は室内での日常の動きに制限はありませんが、気分不快や創部の痛みが生じたときは休憩を取るようにしてください。
術後の診察は、術後1週間目と2週間目の2回になります。
予測不能な合併症について
陰嚢水腫の手術は、合併症が少ない手術のひとつです。上記のような合併症は比較的予測が可能ですが、それぞれの患者さまに起こる合併症を全て予測することは困難です。予測が困難な合併症の中には、比較的軽度なもの(薬物アレルギーなど)から、生命に直結する重度なもの(心筋梗塞、脳梗塞、致死性不整脈など)まで様々です。早期発見・治療のため、術後に何か体調の変化がございましたら、いつでもご相談ください。
陰嚢水腫の再発について
成人の陰嚢水腫は、手術後に再発する可能性がゼロではありません。
一般的に、手術後の再発率は5〜6%前後と言われています。巨大症例や急激に大きくなった症例、水腫が複数ある症例に再発しやすい傾向があります。
初診・検査・手術費用について
当クリニックでのアクロサージを使用した陰嚢水腫の日帰り手術は、自費診療となります。(公的保険適応外)
初診料:7,700円 (税込)
【内訳】問診・診察・エコー検査
・手術をご希望しない場合は初診料のみとなります
術前検査:15,400円 (税込)
【内訳】血液検査・レントゲン検査・心電図、各種説明
・手術をご希望された場合、術前検査を受けていただきます
手術費用:220,000円 (税込)
【内訳】手術料・麻酔料・アクロサージ使用料・術後内服薬・術後診察料
陰嚢水腫手術Q & A
自費診療とは?
なぜ自費診療なのですか?
自宅で創部(キズ)の処置は必要ですか?
就労について?
術後の運動は?
シャワー・入浴について?
その他日常生活の注意点は?
男性機能について?
日帰り手術の制約はありますか?



